Cas clinique

Carcinome épidermoïde du larynx localement avancé, quel traitement adopter ?

Hanène OUESLATI
Service de radiothérapie,
SAINT QUENTIN
L'auteur a déclaré ne pas avoir de liens d'intérêts concernant les données publiées dans cet article.
Mis en ligne : 29 janvier 2026 Temps de lecture : 6 mn

Introduction

Les carcinomes épidermoïdes du larynx localement avancés imposent un arbitrage entre contrôle loco-régional, survie, et préservation fonctionnelle. La taille tumorale (invasion cartilagineuse/extension extralaryngée) et l'atteinte ganglionnaire (avec ou sans extension extranodale, ENE) structurent la stratégie thérapeutique et le suivi.

Observation

Mr BM, 52 ans, sans antécédents médico-chirurgicaux, tabagique 25 PA actif. Ethylisme actif : 4 verres par jour. Dysphagie aux solides qui s'installe mi-janvier 2025

Bilan morphologique et endoscopique

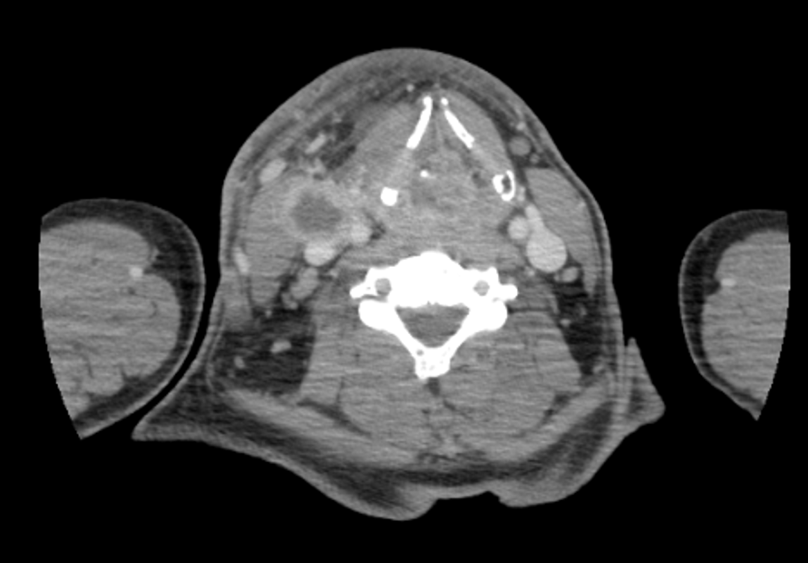
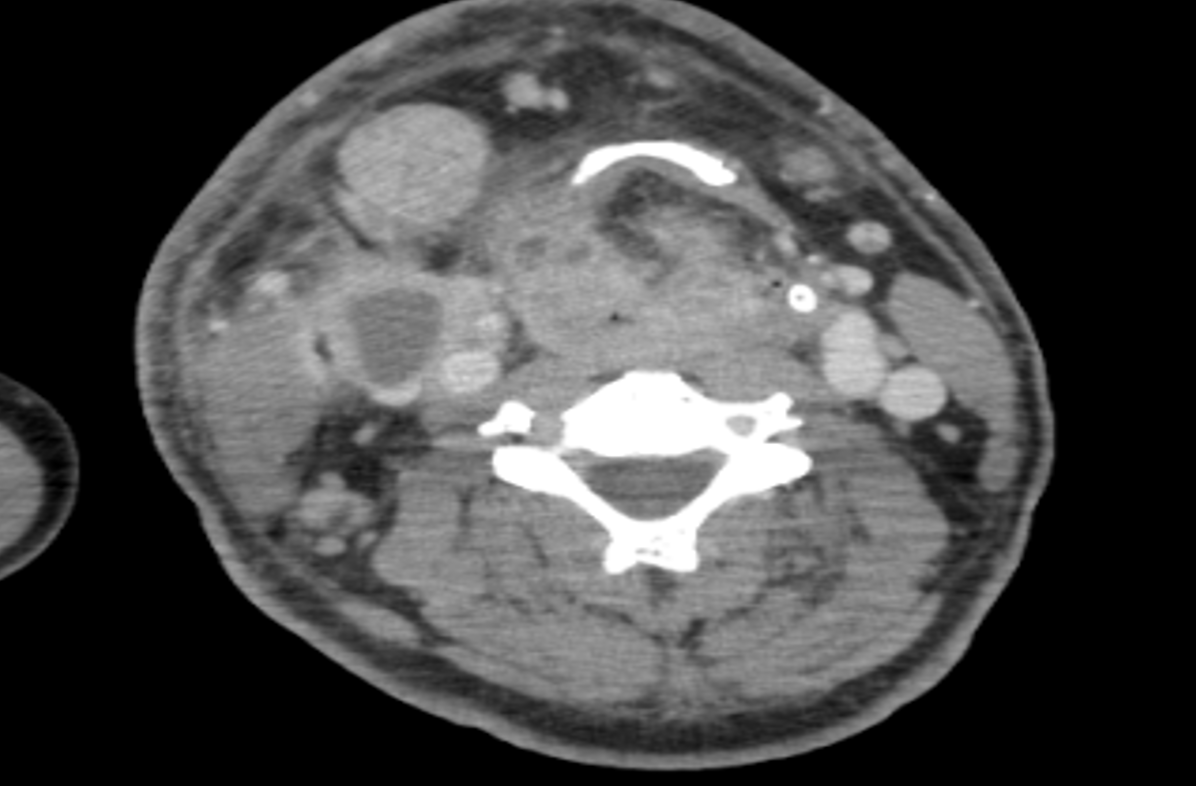
  • TDM cervico-thoraco-abdomino-pelvienne (28/07/2025) : masse laryngée hétérogène, mal limitée, de l'os hyoïde à la région thyroïdienne, infiltration locorégionale (épiglotte, segment œsophagien en regard) et lyse bilatérale des lames du cartilage thyroïde. Adénopathies latéro-cervicales droites nécrotiques en logettes, conglomérat d'environ 66 mm en reconstruction coronale. Autres adénomégalies latéro-cervicales bilatérales non remaniées (jusqu'à 11 mm petit axe à droite). Pas d'atteinte suspecte thoraco-abdomino-pelvienne (Fig. 1).

    Fig. 1 : TDM cervico-thoraco-abdomino-pelvienne

  • Panendoscopie (31/07/2025) : absence de lésion au niveau de la cavité buccale. Présence d'une lésion bourgeonnante émanant de sinus piriforme droit englobant l'entièreté de ce sinus et remontant jusqu'au sillon amygdaloglosse avec une partie sous-muqueuse. Envahissement totale de l'aryténoïde droite et de la bande ventriculaire droite avec une paralysie totale de la corde vocale droite. La lésion passe en arrière de la commissure postérieure et envahit également l'aryténoïde gauche en partie postérieure. Le tiers supérieur de l'œsophage et la bouche de Kilian sont indemnes.

  • TEP-TDM FDG (14/08/2025) : hypermétabolisme tumoral (rapport mentionnant un contingent laryngo-/hypopharyngé), la lésion semble exercer un effet de masse avec un rétrécissement de la filière glottique. Lyse cartilagineuse par contiguïté. Adénopathies intensément hypermétaboliques cervicales droites intéressant les secteurs jugulo-carotidiens supérieurs moyens et sus-claviculaires. Ganglions sous mandibulaires droits discrètement hypermétaboliques, douteux.

  • Stadification retenue : Carcinome épidermoïde du larynx : cT4a cN3a cM0.

Merci de vous connecter ou de vous inscrire pour répondre au cas clinique : Carcinome épidermoïde du larynx localement avancé, quel traitement adopter ?